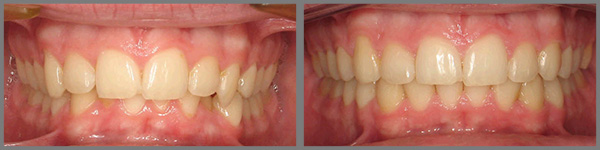
Before and After
Incredible results and inspiring journeys; see some of our patients' before and after photos next time you visit our practice.

Incredible results and inspiring journeys; see some of our patients' before and after photos next time you visit our practice.
